퇴행성 관절염은 삶의 질을 크게 저하시킬 수 있는 대표적인 질환입니다. 이 질환에 걸리면 통증이나 보행에 불편을 겪게 되며, 계단 오르기나 특정 자세를 취하는 것이 어려워져 일상생활에 지장을 초래합니다. 문제는 퇴행성 관절염이 초기에는 발견하기 어려운 경우가 많아 적절한 치료 시기를 놓칠 수 있다는 점입니다. 관절염은 초기 증상을 인지하고 적절한 치료를 받으면 생활습관 개선만으로도 완화될 수 있기 때문에, 퇴행성 관절염의 초기 증상을 알고 있는 것이 매우 중요합니다.



퇴행성 관절염이란?
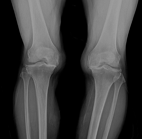
퇴행성 관절염은 관절을 보호하는 연골이 점진적으로 손상되거나 퇴화하면서 관절을 구성하는 뼈와 인대에 손상이 발생해 통증과 염증이 생기는 질환입니다. 이 질환은 주로 60~65세 이상의 노인 중 약 80%가 경험하는 흔한 무릎 질환으로, 최근에는 생활습관과 비만 등 여러 원인으로 인해 젊은 층에서도 빈번히 발생하고 있습니다. 퇴행성 관절염에 걸리면 연골의 분해로 인해 생성되는 염증 물질이 통증을 유발하며, 이는 연골 파괴를 가속화하여 악순환을 초래합니다. 또한 연골이 손상되면서 관절 간격이 좁아지고, 다리가 휘어지는 내반 변형이 생기게 되어 겉으로도 다리가 휘어 보이는 오다리 현상이 나타날 수 있습니다.
퇴행성 관절염 초기증상
퇴행성 관절염의 초기 단계에서는 쪼그려 앉았다가 일어설 때나 계단을 오르내릴 때 무릎에서 시큰거리는 증상을 경험할 수 있습니다. 비교적 증상이 경미한 이 단계에서는 연골 손상을 조기에 발견하고, 연골 성분을 무릎에 주입하거나 약물 치료 및 운동 치료와 같은 보존적 방법으로 증상을 개선할 수 있습니다.



퇴행성 관절염 중기증상
퇴행성 관절염의 중기에는 앉았다 일어날 때, 양반다리를 하거나 자세를 바꿀 때 무릎에 통증이 느껴지고, 특별한 이유 없이 무릎이 붓는 증상이 나타납니다. 이 중기는 퇴행성 관절염이 말기로 진행되는 것을 예방하는 데 매우 중요한 치료 시점으로 간주됩니다. 이 단계에서는 연골이 본격적으로 파괴되고 관절 변형이 발생하게 되며, 손상된 연골은 자연적으로 재생되기 어렵습니다. 그러나 관절경을 활용하여 손상된 연골을 재생 치료하고, 비틀어진 다리의 정렬을 교정함으로써 질병이 말기로 진행되는 것을 막을 수 있습니다.



퇴행성 관절염 말기증상
퇴행성 관절염의 말기 단계에서는 관절의 경직이 발생하여 무릎이 완전히 펴지지 않거나 구부릴 때 제한이 생길 수 있으며, 걷는 동안 통증이 극심해질 수 있습니다. 이로 인해 밤에 다리를 움직이지 않아도 통증이 심해져 잠을 설치는 경우가 많습니다. 연골이 완전히 닳아 없어지는 말기에는 인공관절 수술이 필요합니다. 이 수술은 손상된 연골을 제거하고 그 자리에 인공으로 제작된 관절을 삽입하는 과정을 포함합니다.
퇴행성 관절염 자가 진단법
퇴행성 관절염을 조기에 발견하기 위해 집에서 간편하게 활용할 수 있는 자가 진단 체크리스트를 확인하는 것이 유익합니다. 0~1개 항목에 해당한다면 관절 나이가 20~30세로 건강한 상태로 볼 수 있으며, 2~3개 항목에 해당하면 관절 나이가 40세로 점검이 필요합니다. 4~5개 항목에 해당하는 경우는 퇴행성 관절염이 시작된 상태로 판단되며, 6개 이상에 해당하면 관절 나이가 70세로 적극적인 치료가 요구됩니다.
1. 많이 걸은 후 2~3일간 무릎에 통증이 느껴진다.
2. 계단을 오르내릴 때 무릎이 아프다.
3. 앉았다 일어설 때 무릎에 통증이 있다.
4. 걷다가 멈추면 무릎 힘이 빠져 주저앉을 것 같다.
5. 과도한 걷기로 무릎이 부풀어 오른다.
6. 차렷 자세로 서 있을 때 무릎 사이에 주먹 하나 이상이 들어갈 정도로 벌어진다.
7. 다리를 쭉 뻗고 앉으면 무릎 뒤쪽이 바닥에 닿지 않는다.



퇴행성 관절염 예방법
퇴행성 관절염을 예방하기 위해서는 적정 체중을 유지하는 것이 중요합니다. 또한, 무리한 동작을 반복하거나 나쁜 자세를 취하는 것은 관절의 퇴행성 변화를 촉진할 수 있으므로 주의가 필요합니다. 지나치게 힘든 운동은 관절에 부담을 줄 수 있지만, 적당한 강도의 운동은 근육을 강화하고 관절의 운동 범위를 유지하는 데 도움이 됩니다. 이는 관절염 예방에 필수적입니다.
관절염 초기 증상을 예방하려면 하루에 약 30분 정도 가벼운 운동을 하는 것이 좋습니다. 관절에 부담이 적은 걷기나 수영과 같은 운동으로 근력을 향상시키는 것이 바람직합니다. 쪼그려 앉기처럼 관절을 많이 사용하는 운동은 관절 손상을 가속화할 수 있으므로 주의해야 합니다. 또한, 술과 담배를 끊는 것이 좋습니다. 술은 관절의 염증을 악화시킬 수 있고, 담배는 연골의 염증을 더욱 심화시켜 관절과 뼈에 부정적인 영향을 미칩니다.



지금까지 퇴행성 관절염 초기증상에 대해서 자세히 알아보았습니다. 도움이 되셨기를 바랍니다. 읽어주셔서 감사합니다.