무지외반증 증상과 원인, 치료법
발은 '제2의 심장'이라고 불릴 만큼 중요한 역할을 합니다. 하루 종일 우리 몸을 지탱하며 혹사당하는 발은 특히 여성들 사이에서 많이 발생하는 질환이 있습니다. 바로 무지외반증인데요, 이 질환은 초기 단계에서 제대로 관리하지 않으면 점차 악화될 수 있어 각별한 주의가 필요합니다. 무지외반증 증상과 원인, 치료법에 대해 자세히 설명드리겠습니다.



무지외반증이란?
무지외반증은 엄지발가락이 두 번째 발가락 쪽으로 과도하게 휘고, 그와 함께 엄지발가락과 연결된 중족골이 안쪽으로 치우쳐 변형되는 상태입니다. 또한, 발가락이 발등 쪽으로 휘거나 회전하는 삼차원적인 변형을 일으킬 수 있습니다.
이 변형이 심해지면 엄지발가락이 두 번째 발가락과 겹치거나 관절이 탈구되면서 발을 디디는 것이 어려워지기도 합니다. 건강보험심사평가원의 통계에 따르면, 무지외반증 환자는 주로 40대 이상에서 많이 발생하며, 특히 여성 환자가 남성보다 훨씬 많은 비율을 차지한다고 합니다.
무지외반증 원인
무지외반증 원인 ① 선천적인 원인
무지외반증의 원인 중 일부는 선천적인 요인에 의해 발생할 수 있습니다. 유전적인 이유로 나타나는 경우가 많으며, 특히 원발성 중족골 내전증이나 평발, 발볼이 넓은 발을 가진 경우 과도하게 유연한 발에서 발생하기 쉽습니다. 이와 관련해 모계 유전이 크게 영향을 미쳐, 어머니가 무지외반증 증상을 겪고 있다면 자녀에게도 약 60~70%의 확률로 나타날 수 있다고 알려져 있습니다. 또한, 류마티스 관절염이나 통풍이 원인으로 작용하기도 합니다.



무지외반증 원인 ② 후천적인 원인
무지외반증은 주로 후천적인 원인으로 발생하는데, 특히 굽이 높은 하이힐이나 발볼이 좁은 신발을 자주 신고 오랫동안 착용할 경우 발에 지속적이고 반복적인 압력이 가해져 발가락의 변형이 일어나게 됩니다. 불편한 신발을 자주 신는 사람은 그렇지 않은 사람보다 무지외반증이 나타날 확률이 약 16배나 높다고 합니다. 따라서, 발에 부담을 덜 주는 편안한 신발을 착용하는 것이 매우 중요합니다.
무지외반증 증상
무지외반증이 진행되면 육안으로 엄지발가락의 변형이 뚜렷하게 나타납니다. 초기에는 굳은살이 생기고 약간의 통증이 동반될 수 있습니다. 엄지발가락이 돌출된 부위는 신발에 자극을 받아 두꺼워지고 염증이 발생하여 통증이 생깁니다. 발바닥이 휘어지지 않더라도 굳은살 때문에 정상적인 보행이 어려워지고, 심한 경우에는 통증으로 인해 신발을 신는 것조차 힘들어질 수 있습니다. 증상이 계속 악화되면 엄지발가락이 겹쳐지거나 탈구되는 경우도 발생할 수 있습니다.
또한, 엄지발가락이 옆으로 휘어지면서 관절에 비정상적인 압력이 가해져 퇴행성 관절염이 생길 수 있습니다. 엄지발가락이 발바닥의 압력을 지지하지 못하게 되면, 2, 3번째 발가락으로 그 부담이 옮겨져 발바닥에 굳은살이 생기고, 발가락 뼈 사이의 신경이 부풀어 통증을 일으키는 지간신경종이 발생할 수 있습니다.



무지외반증 치료법
보존적 치료는 변형이 심하지 않은 경우에 우선적으로 고려되는 방법입니다. 굽이 높은 신발이나 발끝이 좁은 신발을 피하고, 편안한 신발을 착용해 발에 가해지는 압박을 최소화합니다. 또한, 신발 안에 중족골 패드나 발가락 교정기 등의 교정 도구를 사용해 압력을 재분배하고 증상을 완화시킵니다. 만약 보존적 치료로 증상이 개선되지 않거나 통증이 매우 심할 경우, 수술을 고려할 수 있습니다.
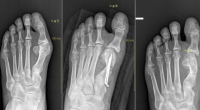
초기 단계에서는 건막류(두꺼운 혹)를 제거하는 건막류 절제술을 시행합니다. 이 수술은 돌출된 건막류를 제거하여 각도를 교정하고, 짧아진 근육이나 연부조직을 늘려주는 비교적 간단한 수술입니다. 만약 다른 발가락의 변형이 함께 있거나 뼈의 과잉 성장이 심한 경우, 뼈를 깎아 방향을 수정하고 발가락을 똑바로 펴기 위해 철사로 고정하는 교정 절골술을 시행합니다. 양쪽 발이 모두 변형된 경우 대부분 한쪽씩 나누어 수술을 진행합니다.
무지외반증 교정기
무지외반증 교정 보조기는 뼈의 변형이 많이 진행된 경우, 단순히 교정기만으로는 치료가 어렵습니다. 개인적인 사정이나 환경적인 이유로 즉각적인 조치가 어려운 상황에서 변형이 더 진행되는 것을 늦추는 목적으로 사용되는 치료 방법이기 때문에, 치료의 주요 수단으로 사용하기에는 적합하지 않습니다.



무지외반증 완화 운동
발가락으로 물건 집기
엄지발가락과 두 번째 발가락을 사용해 작은 물건들을 집어보세요. 예를 들어, 작은 공이나 블록, 종이, 구슬 등을 발가락으로 집는 연습을 하시면 좋습니다. 이 운동은 발가락의 인대를 강화하고, 특히 엄지발가락이 휘는 증상을 완화하는 데 도움이 됩니다.
발로 수건 말기 운동
수건만 있으면 앉아서 쉽게 할 수 있는 운동입니다. 수건을 바닥에 넓게 펴고, 수건의 끝부분을 뒤꿈치로 고정시킨 뒤, 발가락으로 수건을 움켜잡고 당겨서 말아주세요. 이 운동은 발가락 근육을 강화하는 데 도움이 됩니다. 5번씩 3세트 정도 반복하는 것이 좋습니다.
발가락 벌리기 운동
발가락 사이에 고무줄을 끼우고 엄지발가락을 벌리는 연습을 해보세요. 처음에는 발가락이 잘 벌어지지 않을 수 있지만, 꾸준히 연습하면 발가락 근육에 힘이 생깁니다. 단순히 발가락을 벌리는 것에 집중하기보다는, 특히 엄지발가락을 벌리는 데 집중하는 것이 중요합니다. 엄지발가락을 벌리는 힘이 약해지면 발바닥에 힘이 들어가 쥐가 날 수 있으니, 그럴 때는 잠시 풀어주고 계속해서 연습을 반복하시면 도움이 될 것입니다.



무지외반증 예방법
발볼이 좁거나 굽이 높은 신발을 오래 신으면 무지외반증의 발생 확률이 더 높아지기 때문에, 발가락 부분이 넓고 굽이 낮은 신발을 선택하는 것이 좋습니다. 또한, 평발인 경우 발바닥 안쪽을 지지해주는 안창을 사용하면 도움이 됩니다. 다만, 굽이 너무 낮은 신발은 충격을 완화해주는 쿠션 역할을 하지 않기 때문에 피하는 것이 좋습니다. 가장 중요한 것은 자신에게 맞는 편안한 신발을 선택하여 발에 가는 부담을 줄이는 것이 바람직합니다.
지금까지 무지외반증 증상과 원인, 치료법에 대해서 자세히 알아보았습니다. 도움이 되셨기를 바랍니다. 읽어주셔서 감사합니다.